Se até hoje você evita sorrir com confiança… chegou a hora de mudar.

Desde 1998, a Dra. Patrícia cuida de sorrisos na Ilha do Governador com dedicação, experiência e carinho. Aqui, cada paciente encontra mais do que um tratamento: encontra confiança, bem-estar e atenção em cada detalhe.

Classificado como 4.6 de 5

O que dizem nossos pacientes

Nada melhor do que ouvir de quem já passou pelo nosso consultório. Veja alguns depoimentos reais que refletem o cuidado e a confiança construídos ao longo dos anos:

A história da Dra. Patrícia

Formada em Odontologia em 1998, a Dra. Patrícia atua há mais de duas décadas transformando sorrisos na Ilha do Governador. Desde 2002 atende no mesmo endereço, construindo laços de confiança com famílias inteiras da região.

Especialista em Ortodontia desde 2010. Um divisor de águas na carreira. Ela também realiza atendimentos completos em clínica geral, cirurgias e procedimentos diversos, contando com parceiros de confiança em implantodontia.

Apaixonada pela profissão, acredita que odontologia vai além da técnica: é sobre proximidade, escuta e compromisso com o paciente. Quem passa pelo consultório sente não apenas a experiência clínica, mas também o cuidado humano de quem ama o que faz.

Captura de Tela 2025-09-12 às 11.50.37

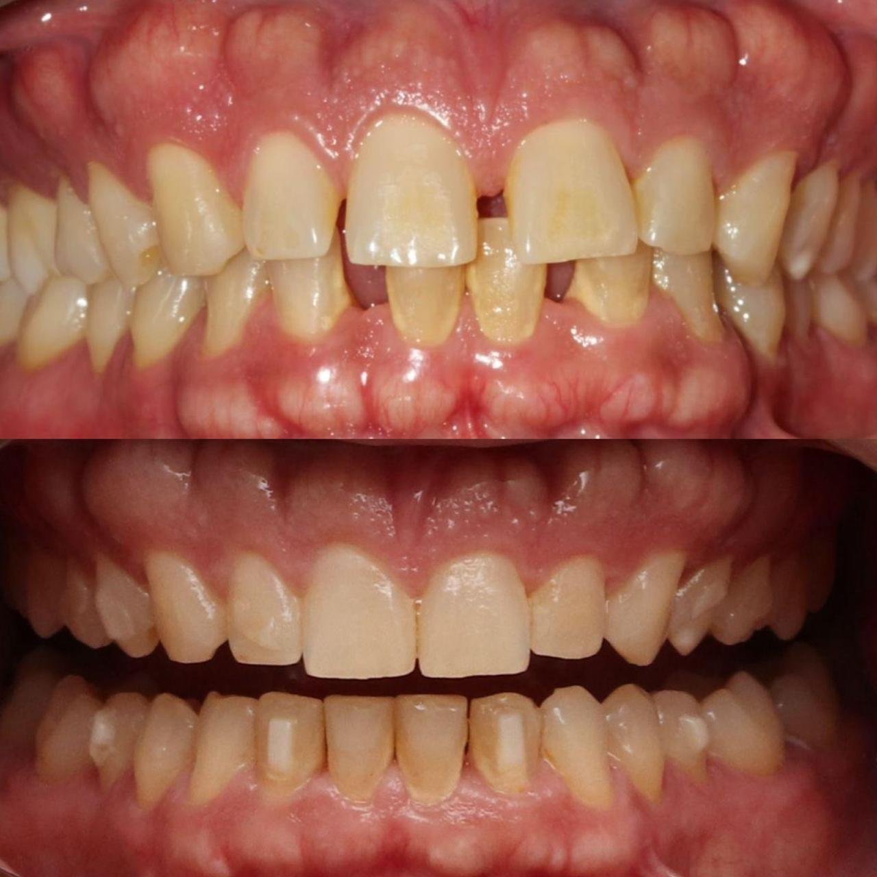
Transformações reais, resultados visíveis

Cada paciente é único, e cada sorriso conta uma história de autoestima e confiança renovadas.

Sorrir com confiança nunca foi tão simples

Com os alinhadores, você conquista o sorriso dos seus sonhos de forma discreta, confortável e sem atrapalhar sua rotina.

A Dra. Patrícia Corrêa é especialista em alinhadores e já ajudou inúmeros pacientes a transformarem seus sorrisos. Tratamento moderno, previsível e praticamente invisível! Ideal para quem quer resultados sem abrir mão da estética e do bem-estar.

Tecnologia, cuidado e excelência em um só lugar

Alinhadores

Aparelhos removíveis e transparentes moldados a partir dos dentes dos pacientes.

Ortodontia

Aparelhos fixos e alinhadores.

Odontopediatria

Cuidado especial para os pequenos.

Endodontia

Tratamento de canal com precisão e conforto.

Cirurgias odontológicas

Segurança e técnica em cada procedimento.

Próteses Dentárias

Funcionalidade e estética para devolver o sorriso.

Implantes dentários

Realizados por implantodontista parceiro.

Clareamento Dental

Brilho natural em poucas sessões.

Lentes de Resina

Correção estética com naturalidade.

Botox

Complemento odontológico para equilíbrio e rejuvenescimento.

Por que escolher a Dra. Patrícia?

Onde estamos

Estamos localizados na entrada da Ilha do Governador, em frente ao McDonald’s, em um espaço pensado para atender com conforto e praticidade.

Rua República Árabe da Síria, 129 – sala 214, Ilha do Governador – RJ.

Dentista Responsável Técnico

Dra. Patrícia Corrêa Rodrigues

Endereço

Rua República Árabe da Síria, 129 – sala 214, Ilha do Governador – RJ.

HORÁRIOS

Seg a Sex: 10h às 18h
Sáb: 9h às 12h
Dom: Fechado

© 2025 – Consultório Odontológico Dra. Patrícia Corrêa Rodrigues

Desenvolvido por: OdontoRise